マリノリサーチ株式会社

ヘッダー画像

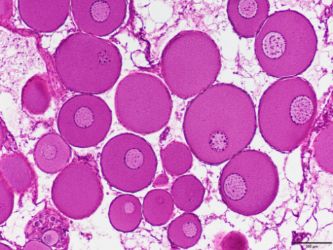
その他水生生物調査・分析

生物調査・標本作製から
社会活動まで幅広く対応しています。

その他、水生生物調査に関する分析や実験業務にお応えしております。
「こんなことやってもらえるのか?」あるいは「これってどうやるんですか?」お聞きになりたいことがございましたら、お気軽にお問い合わせください。

ワークショップや近隣の小・中・高校への出前授業も行っております。

その他水生生物調査・分析の写真

研究開発

  • AI教師データ作業

    最新の情報技術を駆使したAI判定については、熟練した分析者の教師データが必要です。
    それらのデータ集積に対応いたします。

  • EPMA標本作製(ウナギ・キンメダイなど)

    最近の耳石研究分野において、同位体分析など化学的な情報が必要とされています。
    それら正確な分析データを出すために、正確な標本作製に豊富な技術と経験で対応いたします。

  • チョウザメ卵巣など

    オタマジャクシ、昆虫など魚類以外にも未経験の種や情報の乏しい生物に対して研究者の相談に対応します。
    希望の厚さ、部分、染色方法など細かな要望にお応えした組織切片を作成します。

  • 海外ワークショップ参加

    海外での国際的な活動において、当社の技術者自身が会議に参加します。
    研究者との同行や代行、リモート会議や現地参加にも対応いたします。

新技術

研究者が求める分析には技術と経験が必要な作業がたくさんあります。
しかし分野の異なる研究者にはそれらを習得する時間に制限があり、標本の作製やデータの取得にまで至りません。
そこでマリノリサーチにご相談いただければ、私たちの技術を駆使してご希望の作業・標本作製に挑戦いたします。

  • アユ成魚

    アユは成魚になると300本以上の輪紋(日齢)が出現します。
    通常の研磨標本では輪紋観察が困難であるため、両側から研磨した薄片標本を作成します。

  • キンメダイ同位体標本

    同位体測定のためには精巧な標本作製が必須です。

  • サワラ日齢

    遊泳性の高い魚類は、魚体の大きさに比べ非常に耳石が小さい傾向に標本作製が困難です。
    非常に小さい耳石においても精度の高い標本を作製します。

  • シシャモ標本作製

    難易度が高い魚種であっても、創意工夫しながら研究者の希望に応える標本作製に挑戦します。
    ご相談いただければ柔軟に対応いたします。

その他

一般的な分析・査定や標本作製について依頼先をお探しの方、一度当社にご相談ください対応できる作業があるかもしれません。

  • 温度標識(標識生物の確認)

    放流前のサケ稚魚に孵化場で独自のマーキングを耳石に行います。再捕した魚の耳石を調べることにより放流場所を特定することが出来ます。
    他にもトラフグやマグロなどいろいろな方法で標識された魚種を判別する作業に対応しております。

  • 水生昆虫分析

    水生昆虫を調べることによって、河川の汚れを判断することが出来ます。
    これを指標生物と呼び、環境の状態を知る判断材料となります。

  • 透明標本作製

    特殊な薬品を使い、工程を経ることにより、筋肉を透明にし、骨格の状態を解剖することなく観察することが出来ます。
    骨の数や発達の状況などを知ることが出来ます。

  • 魚類の分類

    魚類の分類を専門にした博士が居ます。分類だけでなく、図鑑のような標本画像だけでなく、解剖や生態写真などの撮影にも対応いたします。

社会活動

地域への社会貢献として近隣の小・中・高校へボランティア活動をしています。
理科離れといわれる現代の子どもたちに少しでも興味を持ってもらい、未来の発展に少しでも貢献出来れば幸いです。
また、大学・院生の研究に役立てる技術提供も行っており、技術習得のための実習受け入れも対応しています。

  • 小学校への文化公演

    近くの七和小学校では毎年文化祭の時に体育館を利用して、たくさんの生徒にチリメンジャコを利用した魚類の分類を体験してもらっています。

  • 職業体験の受け入れ

    桑名市内の中学生が職業体験として会社に訪れています。
    実際の作業を通じて研究分析と民間業務がどうやって社会に還元されているか知ってもらいます。

  • 中学生との共同研究

    津田学園のサイエンスクラブでは様々な科学的研究に取り組み、学会発表など高いレベルの活動を行っています。
    数々の受賞歴もあり、それらの活動のアドバイスや技術・機材の提供に協力しています。

  • 出前授業など

    地域のイベントや企業活動への参加を行い、マリノリサーチの仕事を知ってもらうと同時に、生物への好奇心が芽生えるような活動をしています。