マリノリサーチ株式会社

ヘッダー画像

組織切片標本作製

わずかな試料でも、
作製いたします。

生殖腺の熟度判定あるいは病理組織の観察において組織切片標本の作製は有効な方法ですが、標本を仕上げるまでの煩雑な処理過程はかなりの時間を要していまします。マリノリサーチでは、わずかな試料からでも、ご要望に合った組織切片標本を作製いたします。

組織切片標本作製の写真

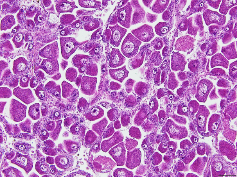
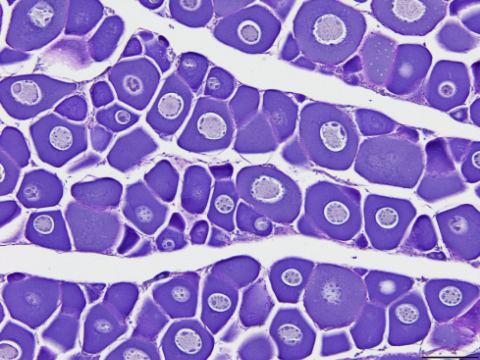
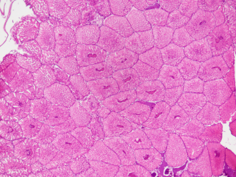
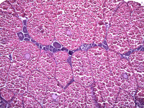
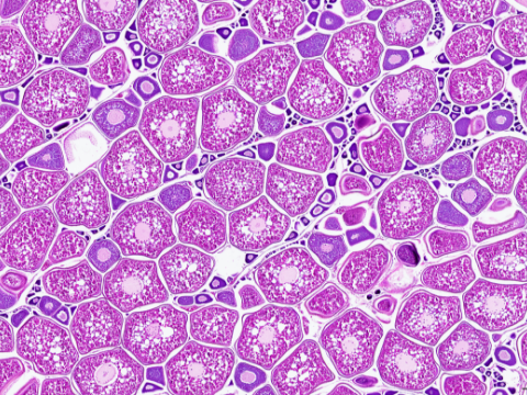
生殖腺片切片標本による成熟度判定

6~8μmの厚さの切片標本を切り出し、エオシン・ヘマトキシリン二重染色をおこないます。ご要望があれば、すべての標本の写真撮影をおこない成熟段階を標記いたします。成熟度の判定が目的でしたら、ホルマリン固定の状態でお送り頂ければ結構です。

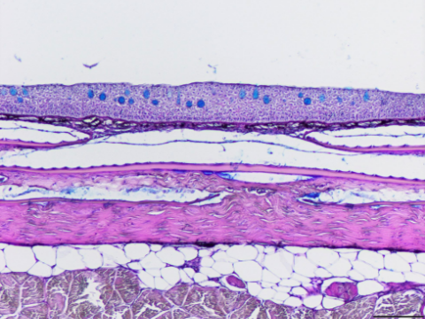
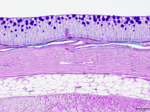
病理組織片切片標本

ウィルス感染や寄生虫に侵された組織切片標本の作製をおこないます。餌料の違いによる体細胞の変化調査、冷凍による肉質変化調査などのための標本作製依頼にも対応しております。

その他の薄片切片標本

水生生物以外に、植物、動物などの切片標本作製もお受けいたします。また、特殊な染色などにも出来る限り対応したしますので、一度、ご相談ください。